Aparelho Fixo – Omne Odontologia

WhatsApp

Este website usa cookies

A Omne Odontologia Integrada usa cookies para assegurar que proporcionamos a melhor experiência enquanto visita o nosso website. Os cookies ajudam-nos a melhorar o desempenho do nosso website e a sua experiência por conteúdo personalizado, funcionalidades nas redes sociais e análise de tráfego. Estes cookies podem também incluir cookies de terceiros, os quais podem rastrear o uso do nosso website e nos fornecer informações para melhorarmos a experiência dos usuários. Conheça a nossa Política de Privacidade

Aparelho Fixo

  1. Home
  2. Tratamentos
  3. Aparelho Fixo
Tratamento - Aparelho Fixo

Aparelho Fixo

O aparelho fixo é um dispositivo usado no tratamento do mau posicionamento ósseo maxilar e/ou dentário que pertence à área de atuação da ortodontia. Esta especialidade é responsável por prevenir e corrigir as más posições dentárias e acompanhar o crescimento e desenvolvimento dos ossos maxilares. Sempre buscando um sorriso harmonioso e uma face equilibrada. Através desta especialidade conseguimos devolver a função mastigatória que estava inadequada ao obtermos uma relação correta entre as arcadas dentárias. Além disso, temos outros benefícios com o tratamento, como estética, fonação, deglutição, respiração e higiene dentária.

Agendar consulta

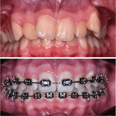
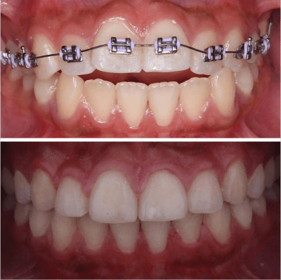
Veja abaixo alguns de nossos cases!

FAQ

Perguntas e Respostas

Qual a diferença entre aparelho fixo convencional e estético?

O aparelho fixo convencional é feito com metal, portanto ao ser colado sobre o dente fica bem visível e pouco estético, mesmo com a utilização de elásticos discretos para prender o fio ortodôntico. No caso dos aparelhos fixos estéticos, feitos de materiais porcelanizados e/ou resinosos são bem mais discretos, apresentam cor semelhante a cor do dente ou são transparentes. Na maior parte dos casos, este tipo de aparelho não aparece em fotos ou vídeos e disfarça bastante no sorriso.

Qual a diferença entre o tempo de tratamento do aparelho fixo convencional metálico e do fixo estético?

Tecnicamente não há diferença de tempo de tratamento entre eles, os dois utilizam a mesma mecânica de movimentação dos dentes. A maior diferença relacionada ao tempo de tratamento é que o aparelho estético tende a soltar com mais facilidade do dente que o convencional metálico. Cada vez que há uma quebra do aparelho o dente em questão sofre menos força e acaba não se movimentando tanto quanto se o aparelho estivesse preso. Estatisticamente o aparelho metálico é um pouco mais resistente que o estético, porém os dois funcionam muito bem quando há cooperação do paciente durante o período do tratamento.

Ainda se usa aparelho fixo convencional? Quais as indicações para usar o aparelho convencional se já existem os alinhadores invisíveis?

Existem alguns tipos de movimento em que os aparelhos fixos convencionais são extremamente eficientes e os alinhadores invisíveis não, assim como alguns tipos de movimento são melhores executados pelos alinhadores invisíveis. Quando elaboramos o plano de tratamento do paciente sempre pensamos na melhor eficiência de movimentação ortodôntica possível para o caso.


Normalmente tanto o alinhador quanto o aparelho fixo executam um bom movimento ortodôntico, mas o tratamento pode ser mais longo se optarmos por um aparelho que não seja o indicado para o tipo de movimentação do caso.


Existem situações, em que pensamos em encurtar o período de uso do aparelho ortodôntico e optamos por um tratamento híbrido, sendo parte através de alinhadores invisíveis e parte por aparelho ortodôntico convencional.

Por que normalmente o tempo de uso dos alinhadores invisíveis é menor do que o tempo de uso dos aparelhos fixos convencionais?

Existem várias questões envolvidas, porém a mais importante é que nos alinhadores toda a força aplicada pelas placas sobre os dentes realmente fica no dente e nos aparelhos convencionais parte da força se dissipa em outras direções que não são as que queremos, além disso existe a constância de força aplicada pelo alinhador ao longo de todo o tratamento, no caso do fixo metálico há um pico de força durante os primeiros dias após a manutenção e ao longo do tempo esta força vai diminuindo.


Aqui vale uma ressalva, existem muitos movimentos que são muito melhor executados pelo aparelho fixo convencional e que por consequência a movimentação é mais rápida do que se utilizássemos um alinhador invisível. O diagnóstico e correto planejamento do profissional são imprescindíveis para eficiência do tratamento.