Faceta e lente de contato – Omne Odontologia

WhatsApp

Este website usa cookies

A Omne Odontologia Integrada usa cookies para assegurar que proporcionamos a melhor experiência enquanto visita o nosso website. Os cookies ajudam-nos a melhorar o desempenho do nosso website e a sua experiência por conteúdo personalizado, funcionalidades nas redes sociais e análise de tráfego. Estes cookies podem também incluir cookies de terceiros, os quais podem rastrear o uso do nosso website e nos fornecer informações para melhorarmos a experiência dos usuários. Conheça a nossa Política de Privacidade

Faceta e lente de contato

  1. Home
  2. Tratamentos
  3. Faceta e lente de contato
Tratamento - Faceta e lente de contato

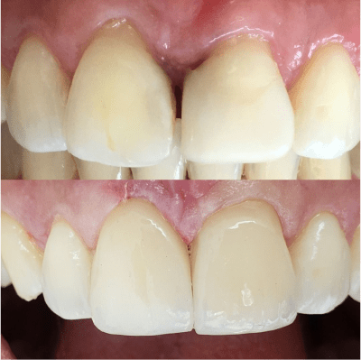
Faceta e lente de contato

Em primeiro lugar vale ressaltar a necessidade do correto diagnóstico do paciente antes de optar por este tipo de tratamento. Muitos casos onde se indica o tratamento restaurador ou reabilitador da forma e função do dente haveria a possibilidade de optar por tratamentos menos invasivos e com a mesma eficácia.


As facetas ou lente dental também conhecida como laminados cerâmicos, são pequenas placas de porcelana que são colocadas na parte da frente dos dentes para melhorar o formato e coloração. Normalmente esse tratamento é realizado nos dentes que aparecem no sorriso. Trata-se de um tratamento que visa melhorar a estética, deixando seus dentes do jeito que você sonhou.


Os laminados cerâmicos conseguem copiar as características dos dentes naturais, apresentam alta resistência e alta estabilidade de cor, ou seja, não mancham com o passar do tempo.


Além da possibilidade de utilizar cerâmica/porcelana para executar o procedimento, existe também os casos em que a resina é utilizada, nestes casos também podemos dar o nome de restauração estética, hoje em dia no mercado existem inúmeras resinas que podem ser utilizadas, apresentam uma excelente estética e também apresentam boa durabilidade. Na maior parte das vezes não apresentam a mesma estabilidade de cor que a porcelana no longo prazo, mas são extremamente úteis pensando no mínimo preparo necessário para o dente receber o material.

Agendar consulta

Veja abaixo alguns de nossos cases!

FAQ

Perguntas e Respostas

Qual a diferença entre usar porcelana ou resina para fazer as facetas ou lentes?

A principal diferença é a durabilidade, as porcelanas têm menor tendência a pigmentação ao longo do tempo, além de ter mais resistência à fraturas quando comparada à resina. Porém a utilização da porcelana normalmente promove mais desgaste na estrutura do dente do que a resina. A resina tem uma boa durabilidade e os tratamentos normalmente são mais rápidos e não requerem tanto preparo nos dentes que vão receber o material, porém existe a possibilidade de haver pigmentação e uma consulta para polimento e manutenção da resina deve ser agendada.

Qual a diferença entre lente e faceta?

Estes procedimentos são executados na odontologia há muito tempo, porém a ideia de usar essas técnicas para alterar forma e cor dos dentes da boca toda ganhou maior notoriedade nos últimos anos.


A diferenciação entre faceta e lente está principalmente relacionado a forma que o preparo no dente é feito para acomodar o material, a faceta demanda um preparo maior no dente e a lente menor. A forma como o dente é preparado para cada uma das modalidades também é diferente, existem formas de preparo já descritas na literatura pertinente ao tema fornecendo todas as diretrizes e bases para que haja uma perfeita adaptação do material sobre o dente.


Outra questão é a espessura de material colocado sobre a superfície do dente, por convenção chama-se lente quando acomodamos uma fina camada e faceta quando há necessidade de uma camada mais espessa de material. Porém a principal diferença entre elas está no tipo de preparo que é realizado.

Quais casos são indicadas as facetas e em quais casos são melhores as lentes?

Como as facetas demandam um preparo maior nos dentes normalmente utilizamos esta técnica quando já existe algum defeito anatômico, fratura ou restaurações muito extensas, por já existir no dente um desgaste ou falta de estrutura tornando o preparo menos invasivo. Existe também a questão de dentes hiperpigmentados que podem exigir uma espessura maior de material para esconder a coloração forte do dente que está por baixo.


No caso das lentes os preparos são normalmente muito pequenos, portanto apresentam uma maior transparência que pode expor a coloração do dente que está por baixo. Além disso, ela é mais indicada em casos em que os dentes estão pouco ou não estão danificados, isso porque os preparos são mais conservadores e tendem a não comprometer a estrutura dental.

Qual tratamento tem maior durabilidade?

Quase na totalidade dos casos, o que vai determinar a durabilidade é o correto diagnóstico para indicação do tratamento adequado. As porcelanas tendem a durar mais do que as resinas sem necessitar de grandes manutenções, as resinas normalmente demandam mais manutenções, porém com o correto acompanhamento e as consultas periódicas preventivas as duas modalidades trazem boa durabilidade e resistência desde que a indicação esteja adequada para o caso.